
A coup-contrecoup brain injury is not a simple concussion. It is two injuries in one. The brain slams against the front of the skull at the point of impact, then bounces back and hits the opposite side. You have damage in two locations, which means twice the swelling, twice the risk of bleeding, and a far more complicated recovery than a single-site injury.
Insurance adjusters love to lump all brain injuries together and treat them like concussions that will resolve in a few weeks. They do this because concussion settlements are lower. A coup-contrecoup injury is a different animal. The dual-site damage often leads to problems with executive function, emotional regulation, memory, and impulse control that can persist for years or permanently. These are the injuries where the patient's spouse says they are living with a stranger.
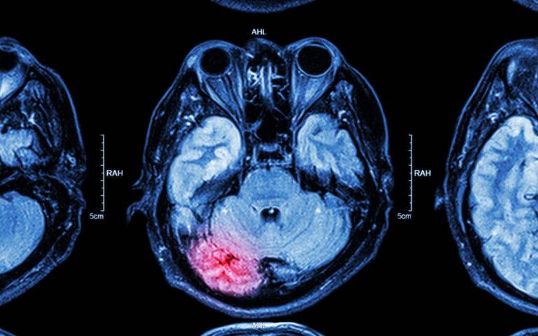
The imaging matters enormously in these cases. A standard CT scan in the emergency room may show the initial bleed but miss the contrecoup damage entirely. An MRI with diffusion tensor imaging is far more sensitive and can reveal the full extent of the axonal damage. If your ER visit only included a CT and you are still having symptoms weeks later, push for the MRI. The imaging findings are what separates a fifty-thousand-dollar settlement from a seven-figure case.
Neuropsychological testing is the other critical piece of evidence. This is a comprehensive evaluation performed by a neuropsychologist that measures your cognitive function across multiple domains: memory, attention, processing speed, language, executive function. The results are compared to normative data for your age and education level. When the testing shows significant deficits that were not present before the accident, it documents the harm in a way that is very difficult for the insurance company to dispute.
I have handled these cases for almost thirty years and the pattern is always the same. The insurance company offers a low number early, hoping you do not realize how serious the injury is. Six months later, when the cognitive problems have not resolved and the neuropsych testing comes back showing significant impairment, the case is worth ten times what they offered. But if you already signed the release, you are stuck with the low number.
If you have been diagnosed with a coup-contrecoup injury or you suspect you have one based on your symptoms, do not settle anything without talking to a lawyer who handles brain injury cases. Call me at 312-500-4500. I will review the medical records and give you a straight answer about what the case is worth.
The majority of TBIs result from an outside force colliding with your head. These TBIs get diagnosed into three categories based on the type of damage inflicted, where, and how. These three types of TBIs are:
The term coup (pronounced coo) hearkens back to 18th-century French and means “a stroke or blow.” The word contre (pronounced contra) also comes from French and means “against.” You may sometimes see countrecoup spelled “contra coup” but this spelling is incorrect. So, contrecoup literally means “against blow” and coup contrecoup means “blow against blow.”
As we learn more about how car and motorcycle accidents contribute to these types of injuries, you’ll gain an instant appreciation for the literal meanings of these terms. It will help you to identify their differences, too.
Whether a coup, countrecoup, or coup contrecoup trauma, all three conditions are categorized as non-penetrating injuries. They have many different causes, including:
For the purposes of this article, we’ll focus on TBIs related to car and motorcycle accidents.

Before we delve into what each of these brain traumas looks like, remember that you need to take any type of traumatic brain seriously. They can prove difficult to diagnose and treat because of the hundreds of different symptoms that may manifest with each type of injury. Time is of the essence with TBIs, so get to the ER as soon as possible if you or someone you love has recently taken a blow to the head.
Attempting to shake off a concussion or grin through the pain could lead to permanent brain damage. What’s more, if left untreated, you could die. If you feel any of the following symptoms, you need to seek medical assistance right away:
Like strokes, every minute counts. TBIs can lead to problems with cerebrospinal fluid flow. They can result in life-threatening brain bleeding (hematomas) or brain swelling. Fragmented bone from skull fractures could also get embedded in brain tissue causing further damage. Don’t take any chances when it comes to head injuries.
Before we delve into coup contrecoup injuries caused by vehicle accidents, let’s explore how TBIs get diagnosed. Then, we’ll compare each condition to the other. Going into this discussion, you should know that any brain trauma can prove serious. They all require timely treatment, whether a coup, contrecoup, or coup contrecoup.
First, coup injuries refer to damage at the point where the force trauma occurs. These prove among the easiest to pinpoint because the area of impact likely contains telltale cuts, contusions, bruises, or other identifying marks with the bruised brain just below. Coup injuries range in severity from mild to severe. They can lead to bruising, swelling, and even hemorrhaging when left untreated.
Second, contrecoup injuries happen on the opposite side of the brain from the point of impact. When it comes to coup vs contrecoup trauma, contrecoup conditions don’t come with visual markers such as abrasions or cuts. As a result, they often get ignored by patients and overlooked or misdiagnosed by healthcare providers.
Contrecoup injuries often occur in a motorcycle crash or a vehicle rollover where the head undergoes the effects of significant force. The reason the trauma appears on the opposite side of the area of impact is that the force and speed causes the brain to strike the skull opposite the blow.
Contrecoup injuries often involve cerebral contusions or brain bruising . Left untreated, contrecoup injuries can cause severe long-term problems for victims as well as microvascular disruption, subdural hematoma, or brain hemorrhage. You may be more familiar with contrecoup injury in the context of “shaken baby syndrome.”
Finally, coup contrecoup injuries, as the name suggests, represent a combination of coup and contrecoup injuries. Coup contrecoup injuries affect both hemispheres of the brain, proving the most severe to treat. As you can imagine, the double impact sites in the brain can lead to a cataclysmic chain of complications and impairment.
Although the coup portion gets treated, many doctors neglect to diagnose the contrecoup element. Coup contrecoup injuries, when left untreated, can lead to permanent brain damage or even death. Timely treatment remains crucial to avoid complications such as hematomas and swelling of the brain.
Brain tissue is soft and delicate. It’s not made to withstand blows and blunt force. The skull’s hard bone shielding envelopes and shields it from damage. And spinal fluid surrounds it providing extra cushioning. In this sense, then, the brain remains somewhat free floating.
During a motorcycle or car accident, the brain jostles around in the head, often at a very high rate of speed with significant force. As we previously discussed, when enough force occurs, the brain slams into the front of the skull. And if the force is powerful enough, it may even cause the brain to then bounce backward smashing into the opposite side of the skull.
These impacts can cause bruising, swelling, damage to blood cells, and damage to nerve cells. We call this a concussion. The term “concussion” doesn’t conjure up the horrific injuries that may impair a victim.
What’s more, people tend to minimize concussions because, oftentimes, few if any visible signs of the damage beneath the skull exist. Victims of TBI may also feel too embarrassed or too confused to report their mental impairments. No one likes to admit to experiencing problems with word recall, memory, uncharacteristic thoughts, depression, and more.
These confessions could lead to problems in the workplace or at home. Some sufferers of TBI do so in silence denying themselves much needed medical attention. Unfortunately, they’re only making matters worse.
Find Out What YOUR Case Might Be Worth...for free.
When it comes to the most common areas of the brain damaged by coup contrecoup injuries, physicians often see trauma in the frontal lobe behind the forehead and in the temporal lobe beneath the temples.
These areas of the brain control language comprehension, speaking, and decision making. Depending on the severity of the condition, patients may also experience problems with:
These remain a short list of the hundreds of symptoms that could afflict those with coup contrecoup injuries. Time and prevention remain crucial to the treatment of TBIs, no matter the type.
Once the brain sustains injuries, they often prove irreversible. It’s crucial that doctors and surgeons act fast to prevent further complications. In mild cases, extra rest may help.
Doctors may also prescribe medication to alleviate some of the symptoms. In severe cases, where brain swelling or bleeding occur, emergency brain surgery may be required to stem the onslaught of these life-threatening complications.
Whether a coup, contrecoup, or coup contrecoup injury, the impact can be devastating. TBIs lead to heartbreaking physical and mental impairments. But they take a financial and emotional toll, too. People suffering from TBIs have faced everything from lost wages to lost jobs to divorces as a result of their inability to recover from an accident.
According to the New York Times, “A single concussion… may have lasting repercussions on mental health and intellectual and physical functioning… and multiple head injuries increase the risks of later problems.”
TBI sufferers may face a lifetime of struggle attempting to rehabilitate, relearn, and move on with their lives. And the most severe may remain dependent on others for the rest of their lives. When these injuries result from negligence or malice on the part of another, the trauma can prove more difficult for victims to overcome.
Find out if you have a good case, or a tough one...for free!
A coup contrecoup injury involves two impact points in the brain — the coup injury occurs at the site of initial impact, and the contrecoup injury occurs on the opposite side of the brain as it rebounds inside the skull. It happens when the head is struck with significant force or stops suddenly — car accidents, falls, assaults, and sports impacts are common causes. The result is damage to two separate brain regions simultaneously, which makes these injuries more complex and often more severe than single-impact TBI.
Standard CT scans frequently miss coup contrecoup injuries, especially in the acute phase. The damage occurs at the cellular level in many cases, which requires MRI or specialized neuroimaging to detect. Emergency rooms focus on life-threatening hemorrhage and may discharge a patient whose imaging looks "normal" despite significant brain injury. Symptoms — cognitive changes, personality shifts, memory problems, headaches — may emerge gradually over days or weeks. By the time the injury is fully understood, the connection to the accident may be challenged by insurance companies. I work with neurologists and neuropsychologists who understand these injuries.
Coup contrecoup injuries are among the most valuable and most contested personal injury cases in Illinois. They are valuable because the damage is often permanent and life-altering — affecting work, relationships, and quality of life for years or decades. They are contested because the injury is not always visible on standard imaging, and defense experts routinely argue the symptoms are exaggerated or unrelated to the accident. Winning these cases requires experienced medical experts, a detailed neuropsychological evaluation, and an attorney who understands how to present brain injury evidence to a jury or arbitrator.
You can recover past and future medical expenses including neurological care, rehabilitation, and neuropsychological treatment; lost wages and future earning capacity; pain and suffering; emotional distress; and loss of normal life. For severe injuries, life care planning is essential to document the full cost of future care. Illinois does not cap non-economic damages in personal injury cases, which means the full human impact of a brain injury can be pursued. These cases require aggressive, experienced representation — call me at 312-500-4500 for a free consultation.
Would you like to know more about slip and fall settlement amounts in Chicago?
If you or a loved one is dealing with a situation like this, give us a call any time, day or night. We are here to help. 312-500-4500
Scott DeSalvo founded DeSalvo Law to help injured people throughout Chicago and surrounding suburbs. Licensed to practice law in Illinois since 1998, IARDC #6244452, Scott has represented over 3,000 clients in personal injury, workers compensation, and accident cases.
No Fee Unless You Win | Free Consultation | 24/7 Availability Call or Text: (312) 500-4500
>>Read More
Main Office:
1000 Jorie Blvd Ste 204
Oak Brook, IL 60523
New Cases: 312-500-4500
Office: 312-895-0545
Fax: 866-629-1817
service@desalvolaw.com
Chicago and Other Suburban Offices
By Appointment Only